Accessible Version
Antelope Creek Family Dentistry

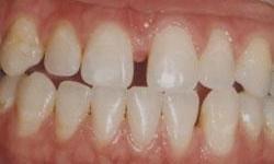
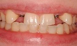
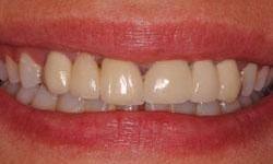
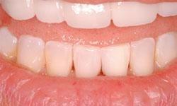
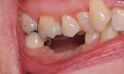
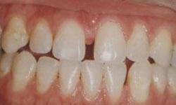
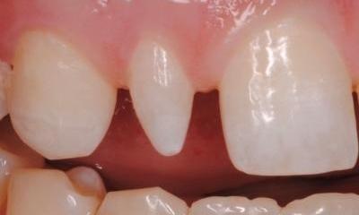
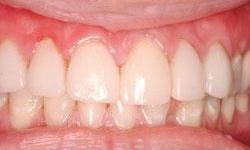
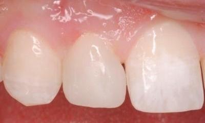
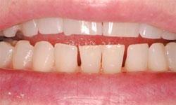
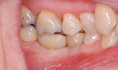
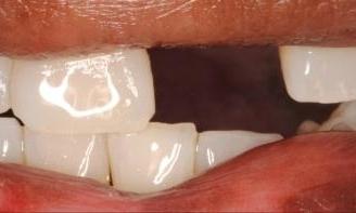
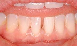
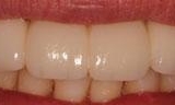
Before & After Photos

Antelope Creek Family Dentistry in Lincoln, NE has helped numerous patients discover their best, brightest, and healthiest smiles. Take a look at our Smile Gallery to see some of their stunning results!

Improve your smile today – call to schedule a consultation!
Best dental office in Lincoln

Best dental office in Lincoln. Over the years I've been with them, these dentists have handled emergencies (on a holiday!), normal checkups, fillings, crowns, and everything else. The technicians are tops and so gentle and friendly. The office staff are extremely competent and helpful. You can't go wrong here!

- Laurie G.

If you have difficulty using our website, please email us or call us at
View the ADA Accessibility Statement
Privacy Policy