Accessible Version
Antelope Creek Family Dentistry
Cosmetic Dentistry
Your Dream Smile Is Within Reach!

Do you have broken teeth or a stained smile? We provide our patients with high-quality and artful cosmetic dentistry in Lincoln, NE.

Woman smiling in chair at Cosmetic Dentist in Lincoln, NE
Are You Ready to Pamper Your Pearly Whites?
Call Us Today!

Cosmetic Dentistry Lincoln

Our highest priority is oral health, but we believe you should also love your smile. If you don't like the appearance of your teeth, we offer high-quality cosmetic dentistry in Lincoln, NE, to enhance your smile

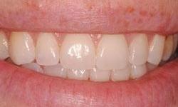
man smiling after getting cosmetic dentistry in lincolnWhat Can Cosmetic Dentistry Fix?

  • Gummy smile
  • Missing teeth 
  • Tooth staining and discoloration
  • Gaps and uneven spacing between teeth 
  • Breaks, chips, and fractures in one or more teeth
  • Minor bite misalignment 

Whatever your smile flaws, our skilled and experienced cosmetic dentists in Lincoln, NE, can help you achieve your best and brightest smile! 

Our Cosmetic Dental Services

We begin with a consultation so your treatment plan fits you like a glove.

By using modern dental technology and our own experience in dental artistry, we can design a solid and radiant smile that compliments your facial features and skin tone. At this consultation, you'll also learn about the costs of cosmetic dentistry and what to expect. 

Why Choose Cosmetic Dentistry in Lincoln, NE

There are many reasons to choose cosmetic dentistry in one of our Lincoln dental practices. Cosmetic dentistry offers many unique benefits, whether you want to improve your emotional outlook or enhance your oral health. Below, we've shared just a few!

Improved Self-Esteem

When you feel good about your smile, you smile more. You feel better about yourself and are ready to live your best life with renewed confidence.

Exclusive Payment Plans

We work with CareCredit financing to help patients budget their dental treatment. A team member can help you apply for this financing option.

Oral Health Benefits

Some cosmetic dentistry options enhance your oral health or promote improved dental function. Talk to your cosmetic dentist in Lincoln to learn more

Frequently Asked Questions

If your teeth are discolored, crooked, chipped, or missing, then you may be benefit from cosmetic dentistry in Lincoln, NE. Cosmetic dental services are ideal for patients who want a more attractive smile with immediate and reliable results.

Smile-Enhancing Cosmetic Treatments in Lincoln

woman smiling #1 Tooth-Colored Fillings

Say goodbye to unsightly metal fillings! Tooth-colored fillings repair damaged teeth and give them the makeover they deserve with durable material that matches your smile’s natural color.

#2 Porcelain Veneers

Resistant to stains, porcelain veneers can conceal minor smile flaws, including crooked teeth, gaps, broken teeth, and stained teeth. Porcelain veneers closely resemble natural teeth in feel, function, and appearance, so your smile will look beautiful and refreshed.

#3 Cosmetic Dental Bonding 

Cosmetic dental bonding repairs teeth that have been chipped, cracked, broken, or otherwise damaged from disease, decay, or injury. Your dentist uses durable, realistic, long-lasting composite resin to reshape and rebuild a damaged tooth so you can enjoy a restored and attractive smile. 

#4 Crowns and Bridges

Our dental crowns and bridges are customized to fit your smile, complement your facial features, and blend in seamlessly with more comfort than ever before. Tooth crowns and bridges are designed to match the shade of your natural teeth so you can enjoy a healthier, more beautiful smile with confidence.  

#5 Invisalign & ClearCorrect Aligners

We can help you straighten crooked teeth and align your smile with ClearCorrect and Invisalign. Both of these advanced orthodontic systems gently and gradually shift your teeth into position with discretion and comfortability. With Invisalign or ClearCorrect invisible braces, you can finally achieve the perfectly straight smile you have always wanted!

Schedule a Consultation with Your Cosmetic Dentists

If you are ready to learn more about our cosmetic dentistry services, please contact Antelope Creek Family Dentistry and schedule your consultation today!

Requiring braces depends on the severity of your orthodontic problems. If your teeth are slightly crooked or have minor gaps between your teeth, these problems can be eliminated with removable braces like ClearCorrect and Invisalign clear aligners, porcelain veneers, or dental bonding.

If you have serious orthodontic problems, we can refer you to a nearby orthodontist and see what options are available.

woman smiling after cosmetic dentistry#1 ClearCorrect Removable Braces

ClearCorrect is an innovative orthodontic alternative to traditional metal braces. ClearCorrect uses custom-made, clear, plastic trays to gradually move misaligned teeth into position.

#2 Invisalign Clear Aligners

Invisalign is a world-renowned orthodontic system used to straighten crooked teeth. With a track record of transforming millions of smiles since 1997, Invisalign is a reliable, low-stress alternative to fixed orthodontics. In as little as six months, you can achieve straighter teeth with Invisalign.

#3 Porcelain Veneers in Lincoln

Porcelain veneers can conceal a multitude of aesthetic flaws in your smile. In addition to reinforcing a broken tooth’s strength and appearance, veneers can also make crooked or gapped teeth look more uniform. Veneers are placed on the tooth’s surface and can be shaped and spaced evenly, immediately giving you a more symmetrical smile.

#4 Dental Bonding

Dental bonding can cover slight imperfections, including crooked or gapped teeth. Your dentist molds, shapes, and polishes the bonding to match your natural smile and improve the appearance of your teeth. Dental bonding is a durable, tooth-colored material that directly adheres to the tooth, or teeth, and it can last for many years.

Book a Consultation with Your Cosmetic Dentist in Lincoln

Our cosmetic dental treatments can give you a straighter smile without using unsightly or uncomfortable metal braces. Contact Antelope Creek Family Dentistry today to learn more about your options, and how we can help you get a more uniform, beautiful smile. 

We have two dental office locations in Lincoln, NE on Normal Blvd and 40th St. 

We are happy to report that, yes, it is possible to restore your beautiful and healthy smile even if you have worn-down teeth!

Cosmetic Dental Services in Lincoln 

This process, which typically involves a variety of dental procedures, begins with a consultation with a dentist or a prosthodontist who specializes in restorative dentistry. Once a dental professional has assessed your teeth, they will work with you to develop a personalized treatment plan. This plan will include some combination of dental veneers, dental crowns, or dental bonding to restore the shape, size, and color of your teeth.

In more extreme cases where the form and function of a person’s bite and smile have been severely compromised, a full mouth reconstruction may be recommended.

Whatever the case, thanks to advancements in cosmetic dentistry, even if your teeth are worn down, you can recapture a healthy, beautiful, and natural-looking smile!

Contact Antelope Creek Family Dentistry 

Drs. Svoboda, Kirkland, and Hedlund can offer you a smile makeover, as seen on the popular TV show Extreme Makeovers. Using crowns, bridges, veneers, and sometimes a full-mouth restoration, they can give you the perfect, white smile you have always dreamed of having! Contact our Lincoln dental office to schedule a consultation.

Professional teeth whitening results can last anywhere from six months to a couple of years, depending on the strength of the treatment and your oral care and maintenance routine and lifestyle habits in its aftermath.

Immediately after a whitening treatment, your teeth will likely appear brighter than ever. However, their longevity depends on how well you maintain them. Good oral hygiene is essential for preserving your new smile. Brushing at least twice daily with a dentist-recommended whitening toothpaste and flossing with the same frequency can help prolong results.

Also, lifestyle choices, like consuming or avoiding staining foods and beverages like coffee, tea, red wine, and red berries, and whether or not you smoke or use smokeless tobacco products are equally important.

It’s also helpful to regularly attend dental checkups, as your dentist can provide touch-up treatments and offer advice on maintaining your results or at-home whitening kits to freshen up your smile between professional treatments.

Safe and Effective Professional Teeth Whitening in Lincoln

If you’re in Lincoln and want to learn more about maximizing the results of your professional whitening treatments, contact Dr. Louis Hedlund and the excellent Antelope Creek Family Dentistry team today to arrange a consultation!

We want our patients to have the opportunity to receive exceptional treatment that fits within their budget. Though we cannot give an exact price for treatment without first seeing a patient, we do offer various financing options. Our cosmetic dentists in Lincoln, NE are skilled in a variety of treatments to improve your smile.

The Cost of Cosmetic Dentistry in Lincoln Varies

The cost of cosmetic dental treatments varies depending on several factors, including:

  • Complexity of your unique case
  • Materials used (i.e., porcelain, zirconia)
  • Location or placement of treatment (i.e., bridges)
  • Number of materials (i.e., veneer shells, crowns)

Whatever your aesthetic needs and goals for your smile may be, our team at Antelope Creek Family Dentistry can help you find an affordable solution.

Affordable Cosmetic Dentistry in Lincoln, NE

Antelope Creek Family Dentistry never wants you to miss out on dental treatment because of financial reasons. That's why we offer various options for affordable dental care. 

We Accept Dental Insurance 

Sometimes, dental health insurance can cover cosmetic dentistry treatments, but it depends on your specific plan. However, our team can help you better understand your coverage, and we can also make a claim on your behalf to see if the treatment will be covered.

We Offer a Special, In-House Membership Plan

If you do not have dental insurance, we provide a special savings program, called The Antelope Creek Family Dentistry Membership Plan, so our patients can still receive dental treatment at an affordable price.

Our membership plan includes discounts on preventive dental care, as well as cosmetic treatments like veneers. We also accept various payment options, including CareCredit. 

Please see our Financial page for more detailed information about our payment options and our membership plan. 

If you have any questions about the cost of treatments, insurance, or other financial options, please call our dental offices on Normal Blvd, or 40th St today! We will be happy to help you receive the high-quality, affordable dentistry you deserve. 

Our Beautiful Porcelain Veneers

Porcelain veneers are thin shells that cover the front of the tooth. They are stain-resistant and durable, lasting up to a decade with proper care. Veneers look, feel, and function much like natural teeth. 

If you dream of that dazzling "Hollywood" smile, veneers are the ideal solution because we use them to redesign your smile completely. Porcelain veneers can change the shape, shade, and size of a tooth in one restoration, providing a more uniform look.

Meet our Doctors:

dentists at Antelope Creek Dental in Lincoln NE

Antelope Creek Dental Team

Dr. Lou Hedlund, Dr. Joshua Svoboda, and Dr. Robert Kirkland are our highly experienced and skilled dentists at Antelope Creek Family Dentistry. 

Dr. Lou Hedlund is one of the founding partners of Antelope Creek Family Dentistry, which opened in 1995. Originally from Aurora, Nebraska, he completed his undergraduate studies at the University of Nebraska Lincoln. He obtained his Doctor of Dental Surgery (D.D.S.) degree from the University of Nebraska Medical Center College of Dentistry. Prior to forming ACFD, Dr. Hedlund was on the faculty of the UNMC College of Dentistry and in private ...

Cosmetic Dental Bonding

two women laughing in Lincoln NEDental bonding is a less invasive procedure where your cosmetic dentist in Lincoln uses composite resin to correct or diminish many tooth imperfections. We also use composite resin for tooth-colored fillings because it hardens and polishes to appear much like tooth enamel.

Dental bonding is performed in the office without outside lab work, unlike porcelain veneers.

Natural Looking Tooth-Colored Fillings 

If you have a cavity, a tooth-colored filling will help fix tooth decay with a strong material that strengthens and protects from future decay. In addition, unlike unsightly amalgam fillings, tooth-colored fillings look natural and are entirely metal-free! 

Super friendly and knowledgeable front staff

Just had my 6 month cleaning and films done. Super friendly and knowledgeable front staff. Back office dental assistants and dental hygienist were great. Spent time showing me the areas I needed to improve my brushing and flossing game. Thanks, Antelope Creek Family Dentistry.

- Craig M.

Professional Teeth Whitening in Lincoln, NE

If you have yellow or brown teeth, professional teeth whitening is one quick and simple way to brighten your smile. We offer the Opalescence™ Boost system for a safe and robust whitening treatment in both a take-home kit and in-office option.

Opalescence™ Boost is an ideal option for effective teeth whitening. Our patients have loved their results, and we think you will, too!

Dental Crowns to Restore Damaged Teeth

Dental crowns restore severely damaged teeth by capping them entirely with a durable cover. Many crowns are made from a strong porcelain material but can suffer damage. Metal crowns are more stable but are unsightly.

Our zirconia crowns are highly durable and robust, so they can withstand chewing and biting forces for several years without sacrificing looks. They are also biocompatible, making them less likely to provoke a bodily reaction or cause inflammation. 

Featured Blog Posts - Cosmetic Dentistry

May 22, 2025

Summer-Ready Smile: Top Cosmetic Dental Treatments for Lincoln’s Hottest Season

young woman smiling at the camera in lincoln ne

In Lincoln, summer means tailgates, farmers markets, Jazz in June, and more time spent outside soaking up that sweet Nebraska sunshine. But with all those outdoor events, family reunions, and graduation parties comes one thing you know will happen: photos. Lots and lots of them. But is your smile ready ...

October 29, 2024

Dental Bonding: A Quick and Affordable Smile Solution

woman smiling in Lincoln dental chair

Need a quick, affordable way to enhance your smile? Welcome to the world of dental bonding!

Dental bonding is a non-invasive cosmetic procedure to repair dental chips, cracks, gaps, and discoloration in a single visit, giving teeth a fresh look with minimal hassle. Here’s how dental bonding works and why ...

May 16, 2024

3 Benefits of Professional Teeth Whitening

smile before and after teeth whitening

Did you know that professional teeth whitening is one of the quickest and most affordable ways to enhance the appearance of your smile? Better yet, your Lincoln cosmetic dentists offer in-office and take-home professional teeth bleaching options for your convenience. 

But is it better to bleach your teeth with your ...

Book a Cosmetic Dentistry Consultation in Lincoln, NE

If you don't like the way your teeth look, we can help you attain the smile of your dreams with individualized cosmetic dentistry procedures, such as smile makeovers, veneers, teeth whitening, and more. To learn more about our cosmetic services or to schedule a consultation, please contact your nearest Antelope Creek Family Dentistry location in Lincoln, NE

Our team looks forward to helping you achieve the smile you've always wanted.

Book with Us Today to Get Your Dream Smile!
Book My Appointment
If you have difficulty using our website, please email us or call us at
View the ADA Accessibility Statement