Accessible Version
Antelope Creek Family Dentistry

In-Office Professional Whitening

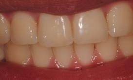
Here is a 52 year old female who was tired of living with yellow discolored teeth. Simple in office whitening was performed. Now she cannot stop smiling!

Related Services:

Cosmetic Dentistry
Still need an appointment?
If you have difficulty using our website, please email us or call us at
View the ADA Accessibility Statement