Skip to main content
Accessible Version
Antelope Creek Family Dentistry
Normal Blvd. Dental Office • (402) 486-1200
40th St. Dental Office • (402) 488-6716
Normal Blvd. Dental Office Directions
40th St. Dental Office Directions
Home
About
Our Team
Dental Technology
Office Pictures
Services
View All
General Dentistry
Emergency Dentistry
Cosmetic Dentistry
Dental Implants
Orthodontic Clear Aligners
Children's Dentistry
Sleep Apnea Treatment
Tooth-Colored Fillings
Periodontal Disease Prevention
Root Canal Therapy
Crowns and Bridges
Full and Partial Dentures
Smile Gallery
Testimonials
Financing
Patient Info
View Patient Info
New Patient Visit
Appointments
Savings Plans
Payment Options
FAQs
Dental Blog
Pay Online
Contact
View All
Normal Blvd. Dental Office
40th St. Dental Office
Antelope Creek Family Dentistry
Schedule Online
Like us on Facebook
Watch our Youtube Videos
Leave a Google Review
Pin us on Pinterest
Normal Blvd. Dental Office
(402) 486-1200
|
Get Directions
40th St. Dental Office
(402) 488-6716
|
Get Directions
Antelope Creek Family Dentistry
>
Smile Gallery
>
Dental Implants
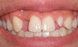
Dental Implants
Return to Smile Gallery
Previous
Next
Related Services:
Dental Implants
Performed at:
Normal Blvd. Dental Office
40th St. Dental Office
Click image to see a larger picture
Before
After
Getting an appointment is
fast
and
easy
!
Get Started!
OK!
×
×
Contact Us Today
Give Us A Call
Normal Blvd. Dental Office -
(402) 486-1200
40th St. Dental Office -
(402) 488-6716
Request an Appointment
Which location?
Normal Blvd. Dental Office
40th St. Dental Office
Ready to Schedule an Appointment?
Book Now
Have Questions? Contact Us:
Required Field
Your Name:
Phone:
Email:
Are you a new patient?:
Are you a?
New Patient
Current Patient
How would you like us to contact you?
Please choose
Email
Call
How did you hear about us?
Please choose
I'm an existing patient
Google/Bing
Mailer
Word of mouth
Social media
Other
Who Referred You?:
Your Message:
This site is protected by reCAPTCHA and the Google
Privacy Policy
and
Terms of Service
apply.
Sending...
×
This Patient's Experience
Loading Testimonial...
Loading Case...