Accessible Version
Antelope Creek Family Dentistry

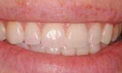
Professional Teeth Whitening

Young mother that was embarrassed to smile due to the color of her teeth. She came to Antelope Creek Family Dentistry and had in office whitening. Great result, beautiful teeth and the confidence to share that smile with everyone!

Related Services:

Cosmetic Dentistry
Improve your smile today – call to schedule a consultation!
If you have difficulty using our website, please email us or call us at
View the ADA Accessibility Statement